A smiling woman with blonde hair stands in an indoor setting, looking directly at the camera.

Smile Gallery

The image shows a close-up of a mouth with severe dental decay and discoloration, featuring numerous rotten teeth with exposed roots and yellowish stains, against a pink background that could be interpreted as a tongue or gum tissue.

CEREC Before

The image shows a person with a wide smile, revealing straight white teeth and a bright smile, set against a neutral background.

CEREC After

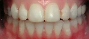
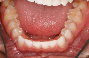
An open mouth displaying a set of teeth with a focus on the bottom front teeth, showcasing a wide smile.

Veneers Before

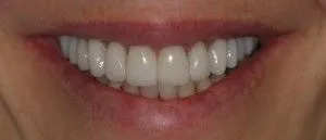
The image displays a close-up of a person s smiling mouth with white teeth, showing a broad smile with visible lipstick.

Veneers After

The image shows a close-up of a person s mouth with teeth, including one with a gap, smiling broadly.

Bridges Before

The image shows a close-up of a person s mouth with teeth, featuring a large smile and a visible red lipstick application.

Bridges After

The image displays a close-up view of a person s mouth with teeth showing, featuring a prominent gold tooth and a partial upper denture.

Implants Before

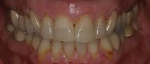
The image displays a close-up view of a person s teeth with a noticeable discoloration, predominantly featuring yellow and red hues, which suggests poor oral hygiene or dental issues.

Implants After

The image shows a close-up view of a person s teeth with visible stains and gaps, against a blurred background.

Invisalign® Before

The image shows a close-up view of teeth with a noticeable red gum line, likely indicating poor oral hygiene or an underlying dental issue.

Invisalign® After

The image shows a close-up of a person s face with a focus on their teeth and lips, set against a plain background.

Cosmetic Bonding Before

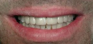
The image shows a close-up of a person s face with a wide smile, revealing teeth and lips, against a blurred background.

Cosmetic Bonding After

The image shows a person with a wide smile revealing straight white teeth, set against a grey background with their face occupying most of the frame.

Invisalign® Before

The image shows a close-up of a person s face with a wide smile, revealing white teeth, against a darker background.

Invisalign® After

The image shows a close-up view of an open mouth with visible teeth and gums, focusing on dental decay and damage.

Invisalign® Before

The image shows a close-up view of an open mouth with multiple teeth, some of which appear damaged or discolored, against a background that includes a partial view of a dental device or appliance.

Invisalign® After

The image shows an open mouth with teeth and the tongue exposed, displaying a red, inflamed interior likely indicative of a medical condition such as gum disease or infection.

Invisalign® Before

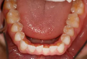
The image shows a close-up view of an oral cavity with visible teeth, gums, and tongue, highlighting dental health concerns such as tooth decay or infection.

Invisalign® After

The image shows a close-up view of a mouth with multiple teeth missing, revealing a damaged oral structure.

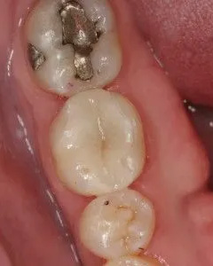
CEREC Before

The image shows a close-up view of a person's mouth with teeth that appear damaged, possibly due to decay or other dental issues, with some areas having gold fillings, and the interior of the mouth is visible with tongue and gums.

CEREC After

Schedule a visit today!
Contact Us
SMS Consent
Submit

Thank You!

We appreciate you taking the time to visit our site. We'll review your message and be in touch with you soon.

Continue
The image shows a scenic view of a river with boats docked at a marina, surrounded by houses and set against a clear sky during daytime.